By Douglas V. Gibbs
Author, Speaker, Instructor, Radio Host
Ron, from a hospice patients line of work, responded to my argument about the coronavirus with the following:
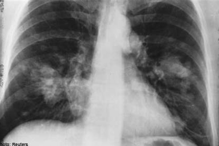
Your article about the coronavirus is correct that the crisis is being used, but your conclusion about this virus is in error: this disease is quite different from the flu or other cold viruses. This can cause permanent scarring to the lungs, even early on before the person knows they are experiencing an infection. X rays and CT scans of lungs show this (search for those terms re covid 19 and you will understand). This is not something that will just pass this season; it is released into the world and like the flu or any other virus, will return year after year, but it is bio-engineered as a bioweapon to be more lethal. So, yes, it is being used by those who oppose the USA, our Constitutional form of govt and our Bill of Rights, etc, or nations being independent of the global govt, etc. but this is a different virus and its effects are very severe in some sections of the population: especially the elderly, immuno-compromised, those with any chronic condition especially high blood pressure, COPD and other respiratory conditions, etc.
Thank you, Ron, for the information. While I stand by my belief that the crisis is being used politically (as Ron agrees), as I have stated, normal care about protecting oneself from getting ill should be a priority. I appreciate the information from Ron, and since my wife has a history of bronchitis she has been concerned because of the influence this disease has on the lungs. That said, healthy, able-bodied persons have a low chance of being horribly affected by this virus, and folks who have health issues or lowered immunity due to age or any other number of factors ought to be careful. That does not mean raiding the stores for toilet paper, or buying a couple dozen TV Dinners is what we should be doing. A friend who lives in Hayward California said that the county made it against the law to go out into public without permission. Are we really so paranoid about this that we are willing to surrender our Liberty to stay safe from a virus that may, or may not, be able to create more discomfort that we are used to during, say, the influenza season?
We have a video game generation who are convinced that the dystopian scenarios they encounter on their games is upon us, and I just can’t buy that. But, that’s just me. Again, thanks Ron for the enlightenment.
Perhaps people expect us all to drop dead in the streets all at once, like the surrogate robot bodies did in the Bruce Willis flick.
If so, did you really need all of that toilet paper?
— Political Pistachio Conservative News and Commentary


